

Orthodontics
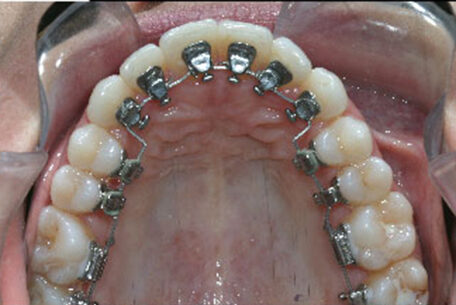
At Sterling Dental, we offer orthodontic treatments designed to straighten teeth, improve bite alignment, and enhance your overall smile. Whether for children, teens, or adults, our orthodontic solutions are tailored to meet your individual needs and lifestyle.
Our experienced team provides modern orthodontic options, including braces and clear aligners, using advanced techniques to ensure effective and comfortable treatment. We take the time to assess your smile, explain your treatment plan, and guide you through every step of the process.
Orthodontic care not only improves appearance but also supports better oral health by making teeth easier to clean and reducing the risk of future dental issues. With personalized care and attention to detail, we help you achieve long-lasting, confident results.
Insurance Plans Accepted
At Sterling Dental, we work with a wide range of insurance plans to make quality dental care affordable and accessible. Our team is happy to assist with insurance verification, coverage questions, and claims, ensuring a smooth and stress-free experience. Contact us to confirm your plan and let us help you get the care you need with confidence.
Appointments
Booking your visit at Sterling Dental is simple and convenient. Schedule an appointment online or contact our office, and our friendly team will help you find a time that works best for you. Whether it’s a routine checkup or a specific treatment, we’re committed to providing timely, comfortable, and personalized dental care.